High-Quality Implant. Manageable Monthly Payments.

Easy
Financing
Available.
Complimentary
Consultation
Contact Us
Our Most Common Teeth Replacement Treatments
Discover the 3 Smartest Ways to Replace Missing or Failing Teeth
*Monthly payment amount is based on credit approval.
Life-Changing Results. Fast.
ARC Digital Workflow: From Surgery to Smile in a Single Day


Thousands of happy patients.
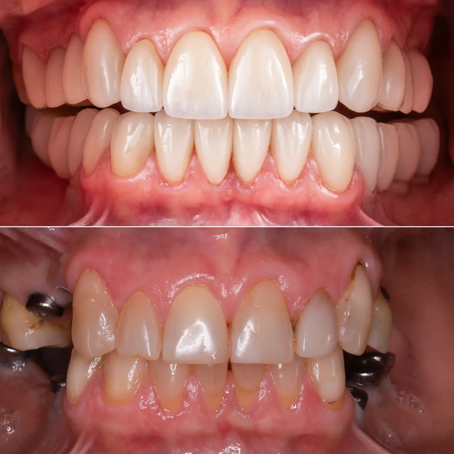
Chewing, smiling, speaking, laughing. That’s the power of full mouth restoration.


Expert Doctors. Unparalled Experience.

Dr. Tarek Hussein
Implant Dentist
Meet Your Doctor
Expert in Full-Mouth Dental Implants & Cosmetic Rehabilitation
Dr. Tarek Hussein is an experienced implant dentist known for his precision, advanced training, and commitment to long-term results. With a strong background in restorative and surgical dentistry, he focuses on delivering implant treatments that look natural, feel secure, and stand the test of time. Dr. Hussein uses digital planning tools, high-quality implant systems, and a detail-oriented approach to ensure each procedure is performed with accuracy and confidence. Patients appreciate his honesty, clear communication, and dedication to doing things right the first time.
About Dr. Tarek Hussein
A Commitment to Your Smile
Dr. Tarek has dedicated his career to providing exceptional restorative and esthetic dentistry, focusing on complex implant surgery and full-mouth reconstructive procedures. He is an expert in the field of smile makeovers and has helped thousands of Southern California residents in achieving their dream smiles. He is a member of the American Academy of Implant Dentistry (AAID), International Congress of Oral Implantologists (ICOI), and the American Dental Association (ADA).



