
Book an Appointment
Take care of your Dental Emergency right away!
No Insurance? We’ve got you covered.
Most Common Dental Emergencies We Treat

Emergency Dental Care
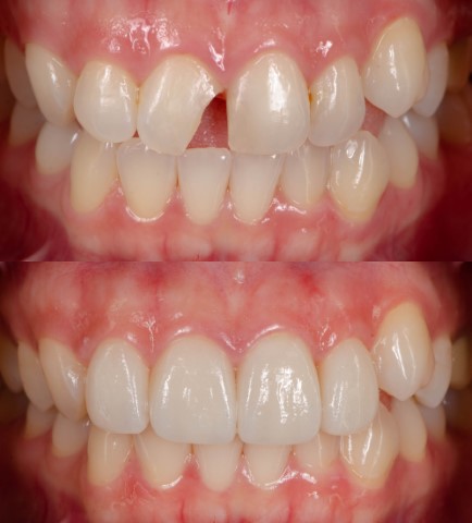
Dental emergencies can happen at any time and when they do, you need to see a dentist immediately to avoid further pain or risk.
Whether it’s an aching tooth, a broken tooth, or swelling and infection, our team at ARC Dental Center in Tustin are here to help.
We’re committed to same-day appointments and fast treatment for new and existing patients.
Meet Your Doctor
Dr. Tarek Hussein
Dr. Tarek Hussein combines advanced surgical training with years of hands-on experience treating dental emergencies throughout Tustin and Orange County. From severe toothaches to complex extractions, he has helped thousands of patients find fast, safe relief when they need it most.
At ARC Dental Center in Tustin, Dr. Tarek provides skilled, reliable care focused on getting you out of pain and back to your life as quickly as possible. Patients across Orange County trust him for his expertise and calm, confident approach during stressful moments.












